Table of Contents    
Case Report
 
Orthodontic management of a case involving extraction of maxillary central incisors: A rare approach
Sapna Singla1, Gurvanit Lehl2
1M.D.S (Orthodontics), Assistant Professor, Department of Dentistry, Govt. Medical College and Hospital, Sector-32.
2M.D.S (Pedodontics), Professor and Head, Department of Dentistry, Govt. Medical College and Hospital, Sector-32, Chandigarh.

Article ID: 100006Z07SS2016
doi:10.5348/Z07-2016-6-CR-4

Address correspondence to:
Dr Sapna Singla
Assistant Professor, Department of Dentistry
Govt. Medical College and Hospital
Sector-32, Chandigarh-160033
India

Access full text article on other devices

  Access PDF of article on other devices

[HTML Abstract]   [PDF Full Text] [Print This Article]
[Similar article in Pumed] [Similar article in Google Scholar]

How to cite this article:
Singla S, Lehl G. Orthodontic management of a case involving extraction of maxillary central incisors: A rare approach. J Case Rep Images Dent 2016;2:15–18.


Abstract
Orthodontic cases managed by extraction of maxillary central incisors are very uncommon, but certain conditions necessitate their extraction. This article reports a case of adolescent boy with a history of trauma to the maxillary incisors. The patient was treated with extraction of both the maxillary central incisors followed by space closure and lateral incisors substituting for central incisors.

Keywords: Maxillary central incisors extraction, Maxillary lateral incisors, Orthodontic replacement, Space closure


Introduction

Orthodontic management involving extraction of both maxillary central incisors is very rare. However, extraction of these teeth might become the treatment of choice in certain conditions. These conditions include malformed, grossly displaced, dilacerated, ankylosed, fractured due to trauma, teeth with resorbed roots or associated with some local pathology [1] [2]. Depending upon the individual requirement, treatment could be either space maintenance for later prosthetic replacement [3], or space closure by substituting lateral incisors for central incisors [4] [5] [6] [7][8]. The latter type of treatment plan can provide space to correct crowded or protrusive dentition without extracting other teeth as well as obviating the need for further prosthetic replacement. This article presents a case of class I malocclusion complicated by trauma and treated by extraction of both the maxillary central incisors.


Case Report

A 14-year-old boy presented to our department with a chief complaint of irregular arrangement of upper and lower teeth. On extraoral examination patient had mesoprosopic, grossly symmetrical face, convex profile with incompetent lips (Figure 1) and (Figure 2). He had a history of trauma to upper anterior teeth at the age of 12 years. On intraoral examination he had Angle's Class-I molar relationship bilaterally with severe crowding in both upper and lower teeth. Both the maxillary central incisors had composite restorations and were severely discolored (Figure 1) (Figure 2). The periapical radiograph showed fractured crowns of both the maxillary central incisors with endodontic treatment of both and a faint fracture line in the apical third of right maxillary incisor (Figure 3). The fracture line was confirmed by taking another periapical radiograph at different tube angle. Although clinically, maxillary central incisors were asymptomatic, but their long-term prognosis was questionable.

Treatment Objective
The primary objectives were to eliminate crowding, correction of excessive lip protrusion, maintenance of Class I molar relation and improvement of patient's facial appearance.

Treatment alternatives
Based on the objectives, two treatment options were proposed. The first option consisted of leaving the maxillary central incisors as such and extracting the four first premolars to relieve the crowding and dentoalveolar protrusion. The second option was to extract the maxillary central incisors and mandibular first premolars. This option seemed to be more reasonable as this would avoid extraction of two healthy maxillary premolars. Also this could possibly avoid the full coverage crowns for maxillary central incisors which would have been definitely required in case of first option. Moreover, because the lateral incisors of this patient were large mesiodistally as compared to normal by 1.5 mm, and they could easily be contoured as central incisors. The lateral incisors would be moved into the central incisor position, and composite build ups would transform the lateral incisors into central incisors. So the second treatment option was chosen and informed consent of the patient was taken. Treatment was started with extractions of both maxillary central incisors and mandibular first premolars.

Treatment progress
A 0.018" preadjusted edgewise appliance (Roth prescription) was used. During the initial alignment and leveling, prosthetic maxillary central incisors were attached to the arch wire at the extraction site (Figure 4A).These teeth were gradually reduced proximally so that by the end of alignment and leveling phase one artificial tooth was left, which was then removed. Space closure was done with 0.016x0.022 in stainless steel archwires and intramaxillary elastic chain (Figure 4B). The elastic chains were discontinued once well distributed spaces around the maxillary lateral incisors were achieved for later composite restoration of these teeth (Figure 4C).After that gingivectomy and composite restorations of the laterals were done to simulate them with the central incisors and the palatal surface and the cusp tip of canines was reduced to make it resemble lateral incisor (Figure 4D).

Treatment Results
By bringing the maxillary lateral incisors in place of central incisors and placing restoration on them with appropriate dimensions, the final result was esthetically and functionally acceptable (Figure 5) (Figure 6). All the treatment objectives were achieved and patient was pleased with the results.


Cursor on image to zoom/Click text to open image
Figure 1: Pretreatment extraoral and intraoral photographs.



Cursor on image to zoom/Click text to open image
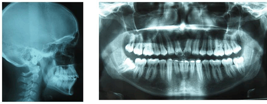
Figure 2: Pretreatment lateral cephalogram and orthopantomogram.



Cursor on image to zoom/Click text to open image
Figure 3: Pretreatment intraoral periapical radiograph showing root canal treatment of both maxillary central incisors and fracture line in the apical third of right maxillary central incisor.



Cursor on image to zoom/Click text to open image
Figure 4: (A-D): Treatment progress photographs.



Cursor on image to zoom/Click text to open image
Figure 5: Post-treatment extraoral and intraoral photographs.



Cursor on image to zoom/Click text to open image
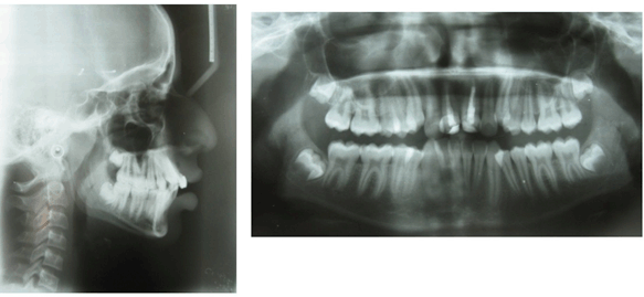
Figure 6: Post-treatment lateral cephalogram and orthopantomogram.



Discussion

The orthodontic management of class I malocclusion with severe crowding is routinely carried out by extraction of four first premolars. However, the present case was treated with atypical extraction of maxillary central incisors instead of first premolars. Very few cases involving maxillary central incisors extraction are reported in the orthodontic literature [9] [10][11]. Although acceptable esthetic outcome and occlusion could be achieved in this case, but definitely there were certain challenges with this type of treatment plan. First concern was to simulate maxillary lateral to central and maxillary canine to lateral incisors. For this, maxillary laterals and canines needed to be reshaped. The canine's labial surface as well as palatal surface was reduced to make it flatter. The cusp tip was reduced to produce a flat incisal edge. Studies have shown that fairly extensive dental grinding can be performed without significant discomfort, and that with minor or no pulp and dentin reactions and long-term studies have confirmed that any unfavorable reactions are temporary [12][13]. Besides certain modifications in the orthodontic appliance were done, like placing of maxillary central incisor brackets on maxillary laterals and maxillary lateral incisors brackets on maxillary canines. Also brackets were placed incisally on laterals and gingivally on canines and to intrude and extrude them respectively to level their gingival margins. Though esthetics was acceptable, long-term esthetics could be further improved with porcelain laminates or veneers.


Conclusion

Extraction of the maxillary central incisors might be a good alternative in some patients to preserve tooth structure and improve esthetics as long as the patient's diagnostic characteristics permit. However, additional restorative and periodontal procedures might be necessary to provide good esthetic results.


Acknowledgements

We would like to thank Dr Monika Kamboj, Senior Resident, Department of Dentistry, Govt. Medical College and Hospital, Chandigarh for performing gingivectomy for this patient.


References
  1. Gazit E, Lieberman MA. Macrodontia of maxillary central incisors: case reports. Quintessence Int 1991 Nov;22(11):883–7.   [Pubmed]    Back to citation no. 1
  2. Hellekant M, Twetman S, Carlsson L. Treatment of a Class II Division 1 malocclusion with macrodontia of the maxillary central incisors. Am J Orthod Dentofacial Orthop 2001 Jun;119(6):654–9.   [CrossRef]   [Pubmed]    Back to citation no. 2
  3. Kokich VG, Nappen DL, Shapiro PA. Gingival contour and clinical crown length: their effect on the esthetic appearance of maxillary anterior teeth. Am J Orthod 1984 Aug;86(2):89–94.   [CrossRef]   [Pubmed]    Back to citation no. 3
  4. Chaushu S, Becker A, Zalkind M. Prosthetic considerations in the restoration of orthodontically treated maxillary lateral incisors to replace missing central incisors: a clinical report. J Prosthet Dent 2001 Apr;85(4):335–41.   [CrossRef]   [Pubmed]    Back to citation no. 4
  5. Kokich VG, Crabill KE. Managing the patient with missing or malformed maxillary central incisors. Am J Orthod Dentofacial Orthop 2006 Apr;129(4 Suppl):S55–63.   [CrossRef]   [Pubmed]    Back to citation no. 5
  6. Sayinsu K, Nalbantgil D. Orthodontic treatment of a patient with traumatic loss of maxillary incisors. World J Orthod 2008 Spring;9(1):43–7.   [Pubmed]    Back to citation no. 6
  7. Zachrisson BU. Improving orthodontic results in cases with maxillary incisors missing. Am J Orthod 1978 Mar;73(3):274–89.   [CrossRef]   [Pubmed]    Back to citation no. 7
  8. Czochrowska EM, Skaare AB, Stenvik A, Zachrisson BU. Outcome of orthodontic space closure with a missing maxillary central incisor. Am J Orthod Dentofacial Orthop 2003 Jun;123(6):597–6   [CrossRef]   [Pubmed]    Back to citation no. 8
  9. Janson G, Valarelli DP, Valarelli FP, de Freitas MR, Pinzan A. Atypical extraction of maxillary central incisors. Am J Orthod Dentofacial Orthop 2010 Oct;138(4):510–7.   [CrossRef]   [Pubmed]    Back to citation no. 9
  10. Jena AK, Singh SP, Utreja A. Orthodontic replacement of maxillary central incisors by lateral incisors: Issues to be considered. Hell Orthod Rev 2010;13:9–23.    Back to citation no. 10
  11. Fleming PS, Seehra J, Dibiase AT. Combined orthodontic-restorative management of maxillary central incisors lost following traumatic injury: a case report. Orthodontics (Chic.) 2011 Fall;12(3):242–51.   [Pubmed]    Back to citation no. 11
  12. Zachrisson BU, Mjör IA. Remodeling of teeth by grinding. Am J Orthod 1975 Nov;68(5):545–53   [CrossRef]   [Pubmed]    Back to citation no. 12
  13. Thordarson A, Zachrisson BU, Mjör IA. Remodeling of canines to the shape of lateral incisors by grinding: a long-term clinical and radiographic evaluation. Am J Orthod Dentofacial Orthop 1991 Aug;100(2):123–32.   [CrossRef]   [Pubmed]    Back to citation no. 13

[HTML Abstract]   [PDF Full Text]

Author Contributions
Sapna Singla – Substantial contributions to conception and design, Acquisition of data, Analysis and interpretation of data, Drafting the article, Revising it critically for important intellectual content, Final approval of the version to be published
Gurvanit Lehl – Analysis and interpretation of data, Revising it critically for important intellectual content, Final approval of the version to be published
Guarantor of submission
The corresponding author is the guarantor of submission.
Source of support
None
Conflict of interest
Authors declare no conflict of interest.
Copyright
© 2016 Sapna Singla et al. This article is distributed under the terms of Creative Commons Attribution License which permits unrestricted use, distribution and reproduction in any medium provided the original author(s) and original publisher are properly credited. Please see the copyright policy on the journal website for more information.