Table of Contents    
Case Report
 
Erupted compound odontoma: Report of a rare case in the primary dentition
Jaya Naidu1, Jayalakshmi K.2
1Professor, Department of Pedodontics & Preventive Dentistry, Vydehi Institute of Dental Sciences & Research Centre, Bengaluru, Karnataka, India.
2Professor, Department of Oral Pathology & Microbiology, Vydehi Institute of Dental Sciences & Research Centre, Bengaluru, Karnataka, India.

Article ID: 100014Z07JN2016
doi:10.5348/Z07-2016-14-CR-12

Address correspondence to:
Dr. Jaya Naidu
Department of Pedodontics and Preventive Dentistry
VIDS, No 82 EPIP Area, Nallurahalli, Whitefield, Bengaluru
Karnataka
India, 560066

Access full text article on other devices

  Access PDF of article on other devices

[HTML Abstract]   [PDF Full Text] [Print This Article]
[Similar article in Pumed] [Similar article in Google Scholar]

How to cite this article:
Naidu J, Jayalakshmi K. Erupted compound odontoma: Report of a rare case in the primary dentition. J Case Rep Images Dent 2016;2:51–55.


Abstract
Introduction: Odontomas are benign odontogenic tumors which occasionally cause disturbances in the eruption of teeth. They occur commonly in the permanent dentition and are very rarely associated with the primary dentition. Some odontomas erupt into the oral cavity. Erupted odontomas in the primary dentition are exceedingly rare.
Case Report: A four-year-old girl reported with the complaint of pain on mastication in the lower left back tooth-region. A tooth like structure was observed in the gingival tissue overlying the lower left second deciduous molar. The fragment was removed under local anesthesia, fixed in formalin and submitted for histopathological study. The histopathological features were suggestive of compound odontoma.
Conclusion: Odontomas rarely erupt into the oral cavity and this phenomenon is even rarer in the primary dentition. Early identification and timely management ensure that complications such as tooth impaction, malocclusion and infections are prevented.

Keywords: Odontoma, Odontoma/classification, Tooth, Deciduous



Introduction

Paul Broca in 1867 coined the term 'odontoma' and defined the term as "tumors formed by the overgrowth of transitory or complete dental tissue" [1]. These are tumors of odontogenic origin resulting from the growth of completely differentiated epithelial and mesenchymal cells that give rise to ameloblasts and odontoblasts. Histologically, they are composed of enamel and dentin, and can also have variable amount of cementum and pulp tissue. They are considered hamartomatous malformations of functional ameloblasts and odontoblasts rather than true neoplasms [2].

The etiology of odontomas is unknown [2]. However, their pathogenesis has been attributed to trauma during primary dentition [2], infection, hereditary anomalies, odontoblastic hyperactivity or alterations of the genetic components responsible for controlling dental development [3]. It has been suggested by Hitchin A D [2], that odontomas are either inherited or are due to a mutant gene or interference, possibly postnatal, with genetic control of tooth development.

Odontomas comprise approximately 22% of odontogenic tumors of jaws [1]. With regards to gender predilection there seems to be no consensus among the different authors. While some studies have reported a greater incidence in females [4], others have reported greater incidence in males [5]. Some studies report no gender predilection [3]. They may be diagnosed at any age but they are usually detected during the first two decades of life [3] [4] . Odontomas can be found anywhere in the dental arches [2][3][4][5]. They mostly occur in the permanent dentition and are rarely associated with the primary dentition [4]. Although odontomas are usually asymptomatic [2], they occasionally cause swelling, pain, suppuration, expansion of the cortical bone, displacement of teeth and can often cause disturbances in the eruption of the associated tooth [3].

The World Health Organization (WHO) classifies odontomas into a compound and complex type from the histopathological perspective. In complex odontomas, the calcified dental tissues are simply arranged as an irregular mass, bearing no morphological similarity to the rudimentary teeth whereas the compound odontomas are composed of all odontogenic tissues in an orderly pattern that result in many teeth-like structures, but without any morphological resemblance to normal teeth [6].

Clinically three types of odontomas are recognized in literature, central (intraosseous) odontoma, peripheral (extraosseous or soft tissue) odontoma and erupted odontoma. The incidence of intraosseous (central) odontoma is the greatest. Intraosseous odontomas may rarely erupt into the oral cavity. These have been traditionally referred to as erupted odontomas [7]. Erupting odontomas have sometimes also been referred to as sequestrating odontomas, those perforating through the mucosa into the oral cavity [8].

There are very few reports of odontomas associated with primary teeth in literature and erupted odontomas in the primary dentition are exceedingly rare. An exceptional case of a four-year-old girl with an erupted compound odontoma associated with a primary molar is presented here along with review of erupted odontomas.


Case Report

A four-year-old girl reported with the complaint of pain on mastication in the lower left back tooth region. Medical, dental and familial histories were not of any significance. Extra oral examination did not reveal any abnormality.

Intraoral examination revealed a primary dentition. All the primary teeth were present. A tooth-like structure was observed in the gingival tissue overlying the lower left second deciduous molar. It was situated lingually and appeared to overlap the linguo-occlusal aspect of the crown of the deciduous mandibular left second molar. The deciduous mandibular left second molar was slightly below the plane of occlusion. The surrounding mucosa showed signs of inflammation (Figure 1).

An intraoral periapical radiograph (IOPAR), revealed a single radio-opaque mass lingual to the crown of the deciduous mandibular left second molar, parallel to the long axis to the tooth (Figure 2).

The fragment was removed under local anesthesia, fixed in formalin and submitted for histopathological study. Macroscopically, the hard tissue specimen was yellowish white in color and hard in consistency and measured 0.9x0.6 cm in dimension.

The patient was reviewed postoperatively and was found to be asymptomatic.

Histopathology
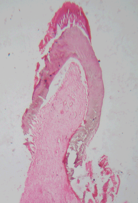
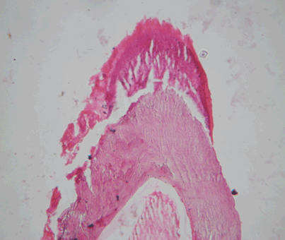
After decalcification and routine histopathological processing, the microscopy showed varying amounts of enamel matrix, dentin and pulp-like tissue (Figure 3) and (Figure 4).

The ground section of the specimen showed a structure resembling a small, single rooted tooth. The specimen showed enamel, dentinal tubules within the dentin and the dentino-enamel junction. A thin layer of cementum was seen at the periphery. These features are suggestive of compound odontoma (Figure 5).


Cursor on image to zoom/Click text to open image
Figure 1: Clinical presentation of the case.



Cursor on image to zoom/Click text to open image
Figure 2: IOPAR showing a single radio-opaque mass lingual to the crown of the deciduous mandibular left second molar.



Cursor on image to zoom/Click text to open image
Figure 3: Decalcified section showing enamel matrix, dentin and pulp like tissue (H&E stain, x40).



Cursor on image to zoom/Click text to open image
Figure 4: Decalcified section showing enamel matrix, dentinal tubules (H&E stain, x40).



Cursor on image to zoom/Click text to open image
Figure 5: Ground section showing enamel, dentin, dentino-enamel junction and a thin layer of cementum at the periphery.



Discussion

Odontomas that have erupted into the oral cavity are rare, with the majority of odontomas being intraosseous. Erupted odontomas have been detected in all age groups. Hence the mechanism behind the eruption of the odontoma remains uncertain. It appears that this mechanism is different from tooth eruption because of the lack of the periodontal ligament in odontomas [8] [9]. Bone remodeling of the jaws resulting probably from the presence of dental follicles has been suggested to cause the eruption of odontomas in younger individuals [9]. It has been reported that most of the cases of erupted odontomas were associated with unerupted teeth, especially second molars, leading to the postulation that the eruptive force of the unerupted teeth could contribute significantly in causing odontomas to erupt [7]. In the present case it appeared that the eruption of the deciduous mandibular left second molar had contributed to the transmucosal eruption of the odontoma partially overlying it. The small size of the odontoma and its location coronal to the primary second molar seem to have favored its eruption into the oral cavity.

In older individuals, resorption of the edentulous part of the alveolar process may play a role [7]. An increase in the size of the odontoma over a period of time may produce a force sufficient to cause bone resorption leading to the sequestration of the overlying bone and, hence, occlusal movement or eruption of the odontoma [8] [9].

Erupted odontomas in the primary dentition are extremely rare [10]. There are very few reports of odontomas associated with primary molars [4]. Most of these lesions were intraosseous, with the odontoma being situated periapical to, between the roots, between the crowns or coronal to the crowns of the primary molars [11]. Of the two types of odontomas, compound odontomas show a predilection for the incisor–canine region of the maxilla while complex odontomas are frequently occur in the posterior maxilla or mandibular region [1] [3][8]. In the present case, an erupted compound odontoma was found situated lingually, overlapping the linguo-occlusal aspect of the crown of the deciduous mandibular left second molar. No similar case of an erupted compound odontoma in association with primary molars has been reported previously.

Erupted odontomas can cause pain, inflammation and infection. Other signs and symptoms include tongue irritation, facial asymmetry, [8][9] halitosis, malocclusion, and tooth impaction [8] [10]. Though odontomas have limited growth potential, a case of a sequestrating giant complex odontoma has been reported in literature, establishing that odontomas can increase in size, which could lead to complications [8]. Some cases of erupted odontomas may be asymptomatic [3] [7].

The recommended treatment is surgical removal of the odontoma, followed by histopathological evaluation to confirm the diagnosis [3]. For teeth impacted by odontomas, following the surgical removal of the odontoma, the treatment options include observation with periodic clinical and radiographic evaluation for spontaneous eruption, fenestration and orthodontic traction. Extraction is considered for impacted teeth with no chance for eruption [3] [7][11].


Conclusion

Odontomas are very rarely associated with the primary dentition. Some odontomas erupt into the oral cavity. In this report, an unusual case of a four-year-old child with an erupted compound odontoma located in the posterior mandibular region is presented. As demonstrated by this case, it is essential to keep in mind the clinical, radiographic and histological characteristics of the lesion and not just the epidemiological characteristics to establish the correct diagnosis. Early diagnosis and management ensure that complications such as tooth impaction, malocclusion and infections are prevented.


Acknowledgements

We are thankful to Mrs Anitha Dorothy, ex-senior technician, Department of Oral Pathology and Microbiology, for helping with histotechniques.


References
  1. Zoremchhingi, Joseph T, Varma B, Mungara J. A compound composite odontoma associated with unerupted permanent incisor--a case report. J Indian Soc Pedod Prev Dent 2004 Sep;22(3):114–7.   [Pubmed]    Back to citation no. 1
  2. Shafer WG, Hine MK, Levy BM. A textbook of oral pathology, 4ed. Philadelphia: W B Saunders; 1983. p. 308.    Back to citation no. 2
  3. Amado Cuesta S, Gargallo Albiol J, Berini Aytés L, Gay Escoda C. Review of 61 cases of odontoma. Presentation of an erupted complex odontoma. [Article in English, Spanish]. Med Oral 2003 Nov-Dec;8(5):366–73.   [Pubmed]    Back to citation no. 3
  4. Hisatomi M, Asaumi JI, Konouchi H, Honda Y, Wakasa T, Kishi K. A case of complex odontoma associated with an impacted lower deciduous second molar and analysis of the 107 odontomas. Oral Dis 2002 Mar;8(2):100–5.   [CrossRef]   [Pubmed]    Back to citation no. 4
  5. Iatrou I, Vardas E, Theologie-Lygidakis N, Leventis M. A retrospective analysis of the characteristics, treatment and follow-up of 26 odontomas in Greek children. J Oral Sci 2010 Sep;52(3):439–47.   [CrossRef]   [Pubmed]    Back to citation no. 5
  6. Kramer IR, Pindborg JJ, Shear M. Histological typing of odontogenic tumour. WHO. International histological classification of tumours, 2ed. Berlin: Springer; 1992. p. 16–21.    Back to citation no. 6
  7. Junquera L, de Vicente JC, Roig P, Olay S, Rodríguez-Recio O. Intraosseous odontoma erupted into the oral cavity: an unusual pathology. Med Oral Patol Oral Cir Bucal 2005 May-Jul;10(3):248–51.   [Pubmed]    Back to citation no. 7
  8. Perumal CJ, Mohamed A, Singh A, Noffke CE. Sequestrating giant complex odontoma: a case report and review of the literature. J Maxillofac Oral Surg 2013 Dec;12(4):480–4.   [CrossRef]   [Pubmed]    Back to citation no. 8
  9. Vengal M, Arora H, Ghosh S, Pai KM. Large erupting complex odontoma: a case report. J Can Dent Assoc 2007 Mar;73(2):169–73.   [Pubmed]    Back to citation no. 9
  10. Ozeç I, Kiliç E, Yeler H, Göze F, Yeler D. Large complex odontoma associated with a primary tooth. Quintessence Int 2007 Jun;38(6):521–4.   [Pubmed]    Back to citation no. 10
  11. Teruhisa U, Murakami J, Hisatomi M, Yanagi Y, Asaumi J. A case of unerupted lower primary second molar associated with compound odontoma. Open Dent J 2009 Aug 13;3:173–6.   [CrossRef]   [Pubmed]    Back to citation no. 11
Suggested Reading
  • Hidalgo- Sanchez O, Leco-Berrocal MI, Martinez-Gonzalez JM. Metaanalysis of the epidemiology and clinical manifestations of odontomas. Med Oral Patol Oral Cir Buccal 2008;13(11):E730–4.
  • Yildirim-Öz G, Tosun G, Kizilo lu D, Durmus E, Sener Y. An unusual association of odontomas with primary teeth. Eur J Dent 2007;1(1):45–9.
  • Serra–Serra G, Berini-Aytes L, Gay–Escoda C. Erupted odontomas: A report of three cases and review of the literature. Med Oral Patol Oral Cir Buccal 2009; 14(6):E299–303.
  • Rumel A, de Freitas A, Birman EG, Tannous LA, Chacon PT, Borkas S. Erupted complex odontoma. Report of a case. Dento Maxillofac Radiol 1980;9(1):5–9.
  • Litonjua LA, Suresh L, Valderrama LS, Neiders ME. Erupted complex odontoma: a case report and literature review. Gen Dent 2004;52(3):248–51.

[HTML Abstract]   [PDF Full Text]

Author Contributions
Jaya Naidu – Substantial contributions to conception and design, Acquisition of data, Analysis and interpretation of data, Drafting the article, Revising it critically for important intellectual content, Final approval of the version to be published
Jayalakshmi K. – Substantial contributions to conception and design, Acquisition of data, Analysis and interpretation of data, Final approval of the version to be published
Guarantor of submission
The corresponding author is the guarantor of submission.
Source of support
None
Conflict of interest
Authors declare no conflict of interest.
Copyright
© 2016 Jaya Naidu et al. This article is distributed under the terms of Creative Commons Attribution License which permits unrestricted use, distribution and reproduction in any medium provided the original author(s) and original publisher are properly credited. Please see the copyright policy on the journal website for more information.