Case Report
 
Glomus tumor: An unusual cause of a lump in the upper lip
Liam Monaghan1, Stuart Clark2
1DCT1 Oral and Maxillofacial Surgery, Royal Albert Edward Infirmary, Wigan Lane, WN1 2NN
2Consultant Oral and Maxillofacial Surgeon, Royal Albert Edward Infirmary

Article ID: 100022Z07LM2017
doi: 10.5348/Z07-2017-22-CR-8

Address correspondence to:
Liam Monaghan
DCT1 Oral and Maxillofacial Surgery
Royal Albert Edward Infirmary
Wigan Lane

Access full text article on other devices

  Access PDF of article on other devices

[HTML Abstract]   [PDF Full Text] [Print This Article]
[Similar article in Pumed] [Similar article in Google Scholar]

How to cite this article
Monaghan L, Clark S. Glomus tumor: An unusual cause of a lump in the upper lip. J Case Rep Images Dent 2017;3:36–39.


ABSTRACT
Introduction: Glomus tumors are rare, benign vascular neoplasms seen most often in the nail beds of the hands. We report a rare case of a glomus tumor presenting as a painless lump in the upper lip.
Case Report: A 73-year-old male was referred with a three-month history of a soft, round, painless lump of around 1 cm, within the labial mucosa adjacent to his upper right central incisor. The patient had a history of adenocarcinoma of the lung, managed successfully with upper lobe resection and chemotherapy. He had peripheral vascular disease and COPD. A differential diagnoses included a mucocele, hemangioma or salivary gland neoplasia. Histology of the excisional biopsy showed benign spindle cells and thin walled blood vessels favoring a glomus tumor. On review the biopsy site was well healed with no sign of recurrence. Unfortunately, further follow-up was declined by the patient.
Conclusion: Glomus tumors arise from glomus bodies, which are arteriovenous anastomosis involved in thermoregulation. They are not to be confused with carotid body tumors, which historically shared the same name. Glomus tumors are classically found in the digits in the hands where greatest numbers of glomus bodies exist. They are rare in the oral cavity, with few reported cases. Age distribution is similar between tumors of the hand and oral tissues, however the strong female predilection seen in subungual tumors is not mirrored in oral lesions. Recurrence is seen in up to a third of digital tumors, although there is no available data on recurrence rates in oral tumors.

Keywords: Biopsy, Glomus tumor, Lip, Oral mucosa, Oral surgery, Vascular neoplasms


INTRODUCTION

Glomus tumors are rare, benign neoplasms usually arising from glomus bodies found in the nail beds of the digits. They should not be confused with paragangliomas, or carotid body tumors, which are neuroendocrine neoplasms which have historically shared the name glomus tumor [1]. Glomus bodies are arteriovenous anastomoses, which play a role in thermoregulation through the shunting of blood in response to changes in temperature [2]. Whilst these tumors do occur throughout the body, they remain rare in the oral region. We report a case of a glomus tumor presenting as a painless lump in the upper lip.


CASE REPORT

A 73-year-old male was referred by his general medical practitioner with a three-month history of a painless lump on the upper left labial mucosa. On presentation the lesion was around 1 cm in diameter, soft, round and freely mobile. There was no evidence of bleeding or ulceration and the patient reported a gradual increase in size over the preceding weeks.

The patient had a history of T2bN1 adenocarcinoma of the lung three years previously. This was managed successfully with a right upper lobe resection and four cycles of vinorelbine/cisplatin. He was in remission and under six monthly review with an oncologist. He also had a history of peripheral vascular disease and chronic obstructive pulmonary disease. Medications included atorvastatin, clopidogrel, tiotropium bromide, fluticasone and salbutamol.

The patient was an ex-smoker, having smoked heavily up until five years previously and drank alcohol only occasionally.

Differential diagnosis included; mucocele, hemangioma or a salivary gland neoplasm. An excisional biopsy was undertaken under local anesthesia where the lesion was excised intact.

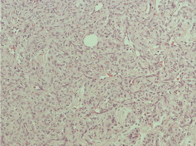
Histological examination of the specimen revealed oral mucous membrane, with underlying stroma showing a well-defined lesion (Figure 1). CD31 was positive, highlighting thin walled blood vessels. The lesion was positive for smooth muscle actin (Figure 2) and negative for S100. There was no atypia or malignancy, with features and immunostaining favoring a benign glomus tumor.

On review at eighth week post-surgery, the patient had no complaints and the biopsy site was well healed, with only a small amount of scarring remaining. The patient was advised of the benign histology but uncertain prognosis in terms of recurrence. Unfortunately, the patient refused any further follow-up.


Cursor on image to zoom/Click text to open image
Figure 1: Hematoxylin and eosin stain (x100) tumor.



Cursor on image to zoom/Click text to open image
Figure 2: Positive smooth muscle actin stain of tumor cells.



DISCUSSION

Glomus tumors can be subcategorized into; solid glomus tumors, glomangiomas and glomangiomyomas, depending on the relative proportions of glomus cells, vascular structures or smooth muscle within histological samples. Solid glomus tumors are most common, making up 75% of cases. Malignant glomus tumors, known as glomangiosarcomas, are exceedingly rare, with fewer than 22 reported prior to the year 2000 [3] .

These tumors are usually found in the hands, where there are the highest numbers of glomus bodies. Symptoms classically involve a triad of well localized stabbing pain, tenderness of the fingertips, and intolerance to cold stimuli [4]. Glomus tumors can affect a wide range of sites, occurring throughout the body, usually in skin or superficial soft tissue [3]. They are more rarely found in deep visceral locations and along the gastrointestinal and genitourinary tracts [5]. Aetiology is uncertain, however familial variants of multiple glomus tumors have been identified [6]. There is also a link between subungual tumors and neurofibromatosis type 1 [7][8].

Whilst uncommon, glomus tumors of the hands are seen relatively frequently when compared to those found in the oral region. A recent review found only 22 cases of glomus tumors affecting oral tissues, the first case being reported in 1943 [9]. A PubMed/Medline search confirmed this case to be one of eight labial glomus tumors reported in English literature [9][10][11][12][13][14][15][16].

Glomus tumors are reported to present most commonly in the fourth to sixth decades of life [5], a finding mirrored in labial tumors, which had an average age of 58 on presentation [9]. In the subungual region, there is a strong female predilection, however there is an even distribution between sexes at other sites [3] , and 55% of labial glomus tumors have occurred in males [9]. In contrast to glomus tumors presenting at other sites, where pain is a frequent presenting symptom [4], none of the reported cases of labial tumors involved a painful history. This makes tumors difficult to distinguish from other, more common painless swellings of the lips.

The management of these tumors is surgical, with recurrence rates in tumors of the digits reported to be in the range of 4–15% [17]. There is insufficient data available from previously reported cases to comment on recurrence rates in labial glomus tumors. However, the easily accessible nature of the lips makes routine follow up by general dentists or the patient themselves simple.


CONCLUSION

In conclusion, glomus tumors affecting the labial mucosa are rare, but should be considered in a differential diagnosis of small, painless swellings of the oral cavity. Solitary glomus tumors of the oral cavity are rarely reported, and we hope this case increases awareness of such lesions to clinicians.


REFERENCES
  1. Naik SM, Shenoy AM, Nanjundappa, et al. Paragangliomas of the carotid body: Current management protocols and review of literature. Indian J Surg Oncol 2013 Sep;4(3):305–12.   [CrossRef]   [Pubmed]    Back to citation no. 1
  2. Gombos Z, Zhang PJ. Glomus tumor. Arch Pathol Lab Med 2008 Sep;132(9):1448–52.   [CrossRef]   [Pubmed]    Back to citation no. 2
  3. World Health Organisation Classification of Tumours. Pathology and Genetics of Tumours of Soft Tissue and Bone. Lyon: IARC Press; 2002. p. 136–7.    Back to citation no. 3
  4. Carroll RE, Berman AT. Glomus tumors of the hand: Review of the literature and report on twenty-eight cases. J Bone Joint Surg Am 1972 Jun;54(4):691–703.   [Pubmed]    Back to citation no. 4
  5. Mravic M, LaChaud G, Nguyen A, Scott MA, Dry SM, James AW. Clinical and histopathological diagnosis of glomus tumor: An institutional experience of 138 cases. Int J Surg Pathol 2015 May;23(3):181–8.   [CrossRef]   [Pubmed]    Back to citation no. 5
  6. Troschke A, Weyers W, Schill WB. Multiple familial glomangioma. [Article in German]. Hautarzt 1993 Nov;44(11):731–4.   [Pubmed]    Back to citation no. 6
  7. Kumar MG, Emnett RJ, Bayliss SJ, Gutmann DH. Glomus tumors in individuals with neurofibromatosis type 1. J Am Acad Dermatol 2014 Jul;71(1):44–8.   [CrossRef]   [Pubmed]    Back to citation no. 7
  8. Stewart DR, Sloan JL, Yao L, et al. Diagnosis, management, and complications of glomus tumours of the digits in neurofibromatosis type 1. J Med Genet 2010 Aug;47(8):525–32.   [CrossRef]   [Pubmed]    Back to citation no. 8
  9. Boros AL, Davis JP, Sedghizadeh PP, Yamashita DD. Glomus tumor: Report of a rare case affecting the oral cavity and review of the literature. J Oral Maxillofac Surg 2010 Sep;68(9):2329–34.   [CrossRef]   [Pubmed]    Back to citation no. 9
  10. Lanza A, Moscariello A, Villani R, Colella G. Glomus tumor of the lower lip: A case report. [Article in Italian]. Minerva Stomatol 2005;54(11–12):687–90.   [Pubmed]    Back to citation no. 10
  11. Rallis G, Komis C, Mahera H. Glomus tumor: A rare location in the upper lip. Oral Surg Oral Med Oral Pathol Oral Radiol Endod 2004 Sep;98(3):327–36.   [CrossRef]   [Pubmed]    Back to citation no. 11
  12. Yu HJ, Kwon SJ, Bahn JY, Park JM, Park YW. Localized multiple glomus tumors of the face and oral mucosa. J Dermatol 2000 Mar;27(3):211–3.   [CrossRef]   [Pubmed]    Back to citation no. 12
  13. Sakashita H, Miyata M, Nagao K. Glomus tumor in the upper lip: A case report. Int J Oral Maxillofac Surg 1997 Aug;26(4):301–2.   [Pubmed]    Back to citation no. 13
  14. Kusama K, Chu L, Kidokoro Y, et al. Glomus tumor of the upper lip. J Nihon Univ Sch Dent 1995 Jun;37(2):97–101.   [Pubmed]    Back to citation no. 14
  15. Moody GH, Myskow M, Musgrove C. Glomus tumor of the lip: A case report and immunohistochemical study. Oral Surg Oral Med Oral Pathol 1986 Sep;62(3):312–8.   [Pubmed]    Back to citation no. 15
  16. Ficarra G, Merrell PW, Johnston WH, Hansen LS. Intraoral solitary glomus tumor (glomangioma): Case report and literature review. Oral Surg Oral Med Oral Pathol 1986 Sep;62(3):306–11.   [CrossRef]   [Pubmed]    Back to citation no. 16
  17. Grover C, Khurana A, Jain R, Rathi V. Transungual surgical excision of subungual glomus tumour. J Cutan Aesthet Surg 2013 Oct;6(4):196–203.   [CrossRef]   [Pubmed]    Back to citation no. 17

[HTML Abstract]   [PDF Full Text]

Author Contributions
Liam Monaghan – Substantial contributions to conception and design, Acquisition of data, Acquisition of data, Analysis and interpretation of data, Drafting the article, Critical revision of the article, Final approval of the version to be published
Stuart Clark – Substantial contributions to conception and design, Acquisition of data, Acquisition of data, Analysis and interpretation of data, Drafting the article, Critical revision of the article, Final approval of the version to be published
Guarantor of Submission
The corresponding author is the guarantor of submission.
Source of Support
None
Conflict of Interest
Authors declare no conflict of interest.
Copyright
© 2017 Liam Monaghan et al. This article is distributed under the terms of Creative Commons Attribution License which permits unrestricted use, distribution and reproduction in any medium provided the original author(s) and original publisher are properly credited. Please see the copyright policy on the journal website for more information.