Case Report


The use of PRF in guided bone regeneration with xenograft around implants in a severe bone loss site: A case report

,  ,  ,  ,  

1 Dental Implant Specialist, Faculdade do Centro Oeste Paulista (Facop), Bauru, São Paulo, Brazil

2 Implantology Department Professor, Faculdade do Centro Oeste Paulista (Facop), Bauru, São Paulo, Brazil

3 Implantology Department Coordinator, Faculdade do Centro Oeste Paulista (Facop), Bauru, São Paulo, Brazil

Address correspondence to:

Nelson Leonel Del Hierro Polanco

Departamento de Farmacologia, FOB-USP, Vila Nova Cidade Universitária 17012901 - Bauru, SP,

Brazil

Message to Corresponding Author


Article ID: 100035Z07NP2021

doi: 10.5348/100035Z07NP2020CR

Access full text article on other devices

Access PDF of article on other devices

How to cite this article

Polanco NLDH, Martins R, Bernini GF, Alonso F, Gennaro G. The use of PRF in guided bone regeneration with xenograft around implants in a severe bone loss site: A case report. J Case Rep Images Dent 2021;7:100035Z07NP2021.

ABSTRACT


Introduction: Platelet-rich fibrin (PRF) is an autologous blood-derived biomaterial, which after a specific blood centrifugation process, results in a platelet-rich fibrin network and growth factors that are critical for bone formation and regeneration. The objective of this case report is to describe the use of PRF combined to a xenogen bone substitute for a guided bone regeneration technique (GBR) around implants.

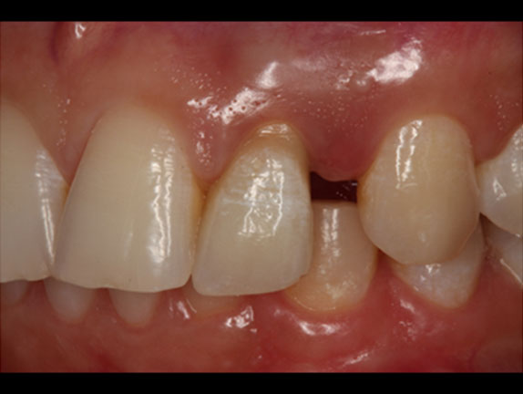
Case Report: A patient with partial edentulism, presenting absence of the upper incisors, sought an implant-supported prosthesis in the area. An absence of adequate thickness of the maxilla was observed, after a clinical and radiographic evaluation. A GBR and immediate implant installation was planned; after anesthesia and total flap detachment, two Cone Morse implants were installed in the lateral incisors area, anchored only in a coronal and apical portion, presenting exposed threads in the middle and upper area due to a vestibular bone defect. The patient’s blood was collected and centrifuged for the PRF membranes and Sticky Bone preparation by combining iPRF and lyophilized bovine bone. The implants exposed threads were covered with the Sticky Bone and the PRF membranes to assist in the process of bone regeneration and surgical wound healing. Six months after the surgical procedure, an implant-supported fixed partial prosthesis was manufactured and both implants were osseointegrated and included in the patient’s rehabilitation.

Conclusion: We conclude that the use of PRF associated with bone substitutes contributed to bone regeneration, favoring the osseointegration process over a period of six months, enabling the patient’s aesthetic and functional rehabilitation.

Keywords: GBR, Implants, Osseointegration, PRF

SUPPORTING INFORMATION


Author Contributions:

Nelson Leonel Del Hierro Polanco - Substantial contributions to conception and design, Acquisition of data, Analysis of data, Interpretation of data, Drafting the article, Revising it critically for important intellectual content, Final approval of the version to be published

Renato Martins - Substantial contributions to conception and design, Drafting the article, Revising it critically for important intellectual content, Final approval of the version to be published

Gabriel Bernini - Substantial contributions to conception and design, Revising it critically for important intellectual content, Final approval of the version to be published

Fernando Alonso - Substantial contributions to conception and design, Drafting the article, Final approval of the version to be published

Gabriela Gennaro - Substantial contributions to conception and design, Revising it critically for important intellectual content, Final approval of the version to be published

Acknowledgments

This work was done in the Faculdade do Centro Oeste Paulista (FACOP). There is no conflict of interest for any of the authors.

Guaranter of Submission

The corresponding author is the guarantor of submission.

Source of Support

None

Consent Statement

Written informed consent was obtained from the patient for publication of this article.

Data Availability

All relevant data are within the paper and its Supporting Information files.

Copyright

© 2021 Nelson Leonel Del Hierro Polanco et al. This article is distributed under the terms of Creative Commons Attribution License which permits unrestricted use, distribution and reproduction in any medium provided the original author(s) and original publisher are properly credited. Please see the copyright policy on the journal website for more information.