Case Report


A case report of progressive static bone cavity in young female with endovascular intervention against the submental artery

1 MD, Director, Department of Neurosurgery, Hokuto Hospital, Obihiro, Hokkaido, Japan

Address correspondence to:

Akira Tempaku

7-5, Inada-cho-kisen, Obihiro, Hokkaido 080-0833,

Japan

Message to Corresponding Author


Article ID: 100051Z07AT2026

doi: 10.5348/100051Z07AT2026CR

Access full text article on other devices

Access PDF of article on other devices

How to cite this article

Tempaku A. A case report of progressive static bone cavity in young female with endovascular intervention against the submental artery. J Case Rep Images Dent 2026;12(1):1–5.

ABSTRACT


Introduction: Static bone cavity (SBC) is a rare, unilateral, oval-shaped radiolucent bone defect that is presumed to develop as a result of focal pressure from surrounding soft tissues. It is commonly observed in the posterior mandibular angle of adult males. It is usually asymptomatic without clinical intervention.

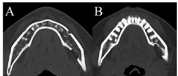
Case Report: A 36-year-old female diagnosed SBC for 10 years ago, accidentally by radiographic study. The cavity of bone defect has been enlarged gradually without any symptoms. Computed tomography (CT) showed the oval-shaped depression 20 mm × 13 mm × 8 mm in size at the left mandibular area. Magnetic resonance imaging (MRI) showed no tumor-like components in the cavity. Computed tomography angiography revealed the submental artery from the facial artery runs around the cavity. These radiographical findings presumed that localized pulsative pressure by the submental artery had formed SBC. Because of progressive enlargement of bone cavity in young female, it was afraid that mandibular bone fracture would be brought in later. To prevent the increment of bone deficit, the endovascular intervention had been performed. The submental artery was embolized by glue. Then, the growth of SBC has been suppressed after the endovascular intervention.

Conclusion: The incidence of SBC in young female is rare. Further the increment of bone deficit is observed in last 10 years without clinical deficits.

Keywords: Endovascular embolization, Static bone cavity, Submental artery, Young female

SUPPORTING INFORMATION


Author Contributions:

Akira Tempaku - Substantial contributions to conception and design, Acquisition of data, Analysis of data, Interpretation of data, Drafting the article, Revising it critically for important intellectual content, Final approval of the version to be published

Acknowledgments

The author thanks medical staff of Hokuto Hospital for their support in the clinical treatment and care of the patient.

Guaranter of Submission

The corresponding author is the guarantor of submission.

Source of Support

None

Consent Statement

Written informed consent was obtained from the patient for publication of this article.

Data Availability

All relevant data are within the paper and its Supporting Information files.

Conflict of Interest

Author declares no conflict of interest.

Copyright

© 2026 Akira Tempaku. This article is distributed under the terms of Creative Commons Attribution License which permits unrestricted use, distribution and reproduction in any medium provided the original author(s) and original publisher are properly credited. Please see the copyright policy on the journal website for more information.